Creating An Effective Pre-Clinical Model Of Bone Marrow

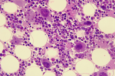
The researchers in this study aimed to develop a Bone Marrow-Chip (BM-Chip) that could replicate the features of human hematopoiesis (the formation of blood cells) and dysfunction caused by genetic mutations, drugs, and radiation. The BM-Chip is a three-dimensional, mechanically active in vitro model that closely mimics the in vivo environment of bone marrow. It was created by co-culturing human bone marrow-derived stromal cells and CD34+ cells in a fibrin gel. The BM-Chip demonstrated increased cell survival and robust hematopoiesis compared to static models.
In addition to studying the effects of drugs, the researchers also used the BM-Chip to model bone marrow pathophysiology. They exposed the BM-Chip to radiation and found that it accurately replicated the effects of radiation on bone marrow depletion. Furthermore, they used the BM-Chip to study a genetic condition called Shwachman-Diamond syndrome (SDS) and observed dysfunctions similar to those observed in SDS patients.
The BM-Chip has the potential to be a valuable tool for predicting drug-related hematotoxicity and designing safety assessments and human trials. It offers a human-specific alternative to animal testing and can be used as a preclinical model for drug development and disease modeling.
The article also discusses the broader potential of organ-chips as models for human emulation and provides an overview of different organ-chips available, including brain-chip, colon intestine-chip, kidney-chip, liver-chip, and lung-chip.
Get unlimited access to:
Enter your credentials below to log in. Not yet a member of Drug Discovery Online? Subscribe today.